Exercise: your questions answered

The majority of women I meet understand that exercise will bring benefits so extensive, that it’s difficult to find anything to match it. Of course, it’s one thing knowing, it’s quite another doing. For some, negative experiences at school have left their mark. ‘I was never the sporty type’ is something I hear regularly. For others, conflicting information about how to get started, what exactly to do, and a fear of injury, are the limiting factors.

This blog answers the questions I get asked most often.

I haven’t exercised for years, where is the best place to start?

Gently and with something you feel you could enjoy! There are lots of different choices available. Some people lean towards being outdoors and walking, others like to dance, swim, or cycle. Mind-body focused classes such as pilates, yoga or stretch can also be a good starting point.

Consistency is paramount so choose whatever you feel most comfortable with, and do it in small doses to begin with. Don’t push too hard, doing something however small it might seem, is the first and possibly most important step.

What is the best exercise to lose weight?

Weight loss can be a complex subject and in truth, I would say that looking at your food choices and gradually changing habits will bring the biggest results. The old adage is true: you can’t out-train a bad diet.

That said, any exercise will burn more calories than not exercising at all. The more vigorous the exercise, the more you’ll burn. However, if you consider how many calories are in a slice of cake and how much exercise you would have to do to work it off,  it definitely would be better to opt out of the cake!

It is worth noting that although cardiovascular exercise used to be the ‘go-to’ in this regard, strength training has an important role to play. Muscle is metabolically active and can impact our Base Metabolic Rate (BMR), the number of calories your body burns at rest. By increasing muscle mass, you will increase your BMR, as well as accessing many other benefits. Here’s a few exercises to get you started.

How can I get rid of my tummy?

Sadly, when losing weight it is impossible to select which area the fat will go from. Equally, you cannot convert fat into muscle. As mentioned above, nutrition is the first port of call. Limiting processed foods, refined carbohydrates, alcohol and sugar will make a much bigger difference than any amount of abdominal work.

Managing stress levels also plays a role. The presence of cortisol will make it much more challenging to shift weight from around the middle. Not only does it increase cravings for sugary food, it also impacts the location the excess fat is stored.

Is it possible to build muscle when you are older?

In short, yes.

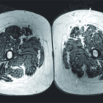
Sarcopenia, defined as age-related, involuntary loss of muscle mass and strength, is inevitable but ONLY if you do not takes steps to counteract it. These incredible MRI images show a cross section of a thigh of a 70 year old man who has done no strength exercise and allowed nature to take its course. The one on the right is a triathlete of the same age. There was a third image that I haven’t featured which compared the 70 year old with a 40 year old triathlete – there was very little difference.

Studies have shown that it is more than possible to build muscle whatever your age, and the good news is, the changes can happen relatively quickly.

How often should I exercise?

Initially, I would say that however often you can commit to, and maintain consistently, is the way forward. Build up gradually from there.

Once you the habit is established, increase the number and intensity of the sessions. Where possible include a variety of modalities. As well as cardiovascular exercise, ideally aim for two sessions of strength training a week, as well as a couple of flexibility classes if possible. There’s more information here.

How do I know I am exercising at the right level?

In order to improve your fitness you need to take your body a little out of its comfort zone. Unless it is asked to do something it is not used to, there is no incentive for it to change and develop. By increasing the demands, you will stimulate a physiological response as the body adapts to meet the additional challenge. This is know as the principle of progressive overload.

In reality, it means getting out a little out of breath or struggling to lift a certain weight after a number of repetitions.

What if I am worried about getting injured?

Listening to your body is important in any situation, but it is also true to say that we are all capable of so much more than we think we are. It is understandable to feel nervous if you have been injured previously, but start gently and build up gradually. Done correctly, exercise will help to strengthen those areas and prevent further issues. Do nothing, and injuries are much more likely to re-occur.

If injury is a concern, then getting expert advice is important and it will help to increase your confidence. I have recently been away in a spa and attended a number of different classes. I was staggered at the different levels of teaching. One instructor seemed oblivious to the clientele in front of her, and included exercises that were not only inappropriate, but offered no instruction on good technique. Find a teacher who is experienced and understands where you are at.

What do you consider to be the biggest benefit of exercise?

Group of Nordic walkersIt’s hard to choose one benefit as there are so many. Aside from the physical benefits such as disease prevention, improving sleep, and maintaining function, there’s a host of mental ones too. Exercise builds self esteem and confidence, and plays an important role in managing depression. If you choose to exercise with other people, the social opportunities are enormous. Add into the mix the aesthetic, and it’s a win win!

 

So there you have it. Exercise doesn’t have to be complicated and it really can be enjoyable.

If you have any questions that I haven’t covered, do post them in the comments and I will reply individually.

Keeeep exercising!

 

 

 

 

 

 

 

Leave a Reply

Your email address will not be published. Required fields are marked *